Hodenhochstand
_/ Kinder /
Der inguinalen Hoden
Siehe auch: „undescended testes“.
Das Problem der inguinalen Hoden
Bauchhoden, Schlupfhoden oder inguinale Hoden, wissenschaftlich bekannt als „undescended testes“, wird bei 3% aller Neugeborenen und 30% der Knaben beobachtet, jedoch wandern die Hoden im ersten Jahr meistens zu ihrer normalen Position.
Wissenschaftliche Publikationen berichten über eine Inzidenz von lediglich 1% danach. Die Erkrankung ist in 2/3 der Fälle einseitig (unilateral). Die Hoden sind in 90% der Fälle in der Leiste zu tasten. Da die Hoden dort der Körperwärme ausgesetzt sind, bestehen hohe Risiken.
%
bei der Knaben beobachtet
Demzufolge ist deren Anbringen im Hodensack durch eine Operation (Orchidopexie) wichtig. Die Hoden können an verschiedenen Stationen fixiert werden, je höher desto risikoreicher. Die statistische Wahrscheinlichkeit für Infertilität bei Hodenhochstand ist 10%. Das Risiko für Hodenkrebs (Seminom) ist 10-mal höher im Vergleich zur normalen Bevölkerung. Daher ist es nach einer Operation dringend ratsam, die Kinder, die darunter leiden, anzulernen, ihre Hoden regelmäßig zu tasten, um über Verhärtungen bzw. Hodenkrebs zu berichten. Die Hoden werden im Verdachtsfall getastet und mit Ultraschall dargestellt. Etwaige Begleiterkrankungen wie, Klinefelter Syndrom oder vermindertes männliches Hormon (Testosteron) werden festgestellt.
Man muss zwischen den verschiedenen Typen der Erkrankung der Hodenlage wie:
- Gleithoden
- Wanderhoden
- Retractile testis
- Nondescensus testis
- Hodenhochstand
unterscheiden um die richtige Indikation des operativen Eingriffes zu entscheiden.

© Jeremy Mcknight / unsplash.com
Die Risiken des Hodenhochstandes sind:
- Hodenkrebs
- Hodenverletzung
- Infertilität
- Schrumpfhoden, anders gesagt Hodenatrophie
- Hodentorsion
- Leistenbruch
%
bei aller Neugeborenen
Anatomie — MANN
Für wen ist die Orchidopexie geeignet?
Orchidopexie oder Hodenverlegung ist eine Operation mit funktioneller, ästhetischer und psychischer Zielsetzung.
Sie ist geeignet für Patienten mit Bauchhoden und Leistenhoden, bzw. notfallmäßig nach einer Hodentorsion.
Behandlungsablauf
Nachdem Dr. Elseweifi die genaue Anamnese vorgenommen und das Kind klinisch und sonographisch untersucht hat, wird die Technik der Operation erklärt. Urin- und Blutuntersuchung werden durchgeführt, und die Einwilligung mit der Orchidopexie wird unterschrieben.

© Dr. Aref Elseweifi / masculine.de
Was soll man vor der Hodenverlegung beachten?
Kryptorchidismus muss erst nach dem ersten Lebensjahr behandelt werden, d.h. „watchful waiting“ ist der erste Schritt der Behandlung. Die hormonelle Behandlung, genauer gesagt Spritzen von human chorionic gonadotropin (hCG) oder GnRH analoga (Gonadotropin-Releasing-Hormon), müssen bei Leistenhoden zuerst empfohlen werden. Wenn die hormonelle Behandlung versagt, führt Dr. Elseweifi die Orchidopexie durch. Genitale Hygiene und Freiheit von jeder Entzündung sind dafür erforderlich. Die Operation kann bei Patienten im Alter von bis zu 5 Jahren ambulant durchgeführt werden.
Eichelvergrößerung wiederherstellt die Relation zwischen die Eichel und das Glied.
Wie wird die Orchidopexie durchgeführt?
Die Orchidopexie wird in vier Schritten durchgeführt:
Die Technik der Operation ist wie folgt:
- Der erste Schritt ist, die Hoden zu befreien und die Gefäße und den Samenstrang spannungsfrei freizupräparieren.
- Der zweite Schritt ist, einen Tunnel zwischen der Leiste und dem Hodensack zu entwickeln.
- Danach folgt der dritte Schritt, nämlich eine Tasche im Hodensack aufzubauen.
- Nachfolgend werden die Hoden durch den Tunnel gezogen, in der Tasche platziert und befestigt.
Hoden: Leistenhoden — Orchioplexie
Wie lange dauert die Leistenhodenverlegung?
Die Operation dauert eine Stunde bei einseitigem und zwei Stunden bei beidseitigem Hodenhochstand.
Wie lange dauert die Heilungsphase?
Dorchidopexie ist eine Operation an Weichteilen. Demzufolge dauert die Heilungsphase 2 Wochen. Allerdings sind bis zu 4 Wochen beschränkte Aktivitäten und Abstinenz vom Sport ratsam.
Wie lange besteht nach der Operation Schulbeschränkung?
Dr. Elseweifi empfiehlt, sich 2 Wochen Schulfreiheit zu nehmen und mindestens 4 Wochen keinen Sport auszuüben.
Welche Einschränkungen (Narben, Schwellungen, usw.) bringt die Orchidopexie mit sich?
Ein Spannungsgefühl, Schwellung und blaue Flecken im Hodensack können über einen Zeitraum von 10 Tagen auftreten. Weiterhin wird eine feine Narbe am Skrotum und an der Leiste sichtbar. Sie ist so dünn, dass sie mit der Zeit (nach ca. 6 Monaten) in den Hautporen fast verschwindet.
Sie können Ihre Operation über medipay finanzieren.
Informieren Sie sich jetzt: 0 22 41 / 96 9 26-0
Hodenhochstand Operation auf einen Blick
| Genesung | Ambulant |
| OP-Dauer | 45 Minuten |
| Narkose | allgemeine |
| Vorbereitung | Hygiene |
| Ausfallzeit | 7 Tage |
| Nachsorge | Einmal nach der Operation, und 4 Wochen danach. |
| Sport & Sonnenbaden | Sport 4 Wochen & Sonnenbaden 8 Wochen |
| Kosten | Privatversicherung: wird nach GOÄ je Schweregrad der Operation berechnet. |
| Selbstzahler: Voller Preis im Voraus gegen detaillierten Op. Kostenvoranschlag. | |
| Kassenversicherung: keine zusätzliche Zahlung. | |
| Eine Ratenzahlung ist möglich. Wir arbeiten mit dem Finanzierungspartner Medipay zusammen. Sprechen Sie uns an. | |
| Beratung vor der OP | erforderlich und kostenpflichtig (50 €*) Beratung ist auch für Kassenpatienten möglich. |
| Termin | 14 Tage im Voraus |
| Bezahlung | vollständige Zahlung im Voraus bei detailliertem Kostenvoranschlag oder Finanzierungsplanung mit Medipay |
| 100 €* Stornierungsgebühr bei Absage bis 2 Wochen vor OP bzw. 500 €* Gebühr bei Absage unter 2 Wochen vor OP° | |
| Betreuung am Heimatort | erforderlich bis zur vollendeten Heilung |
* Alle Preise sind Nettoangaben und verstehen sich zzgl. der gesetzlichen Mehrwertsteuer.
Die Stornierungsgebühren werden wegen des administrativen Aufwands erhoben. Die Rechnungen werden, wegen absolute Transparenz nach Gebührenordnung für Ärzte (GOÄ), auch mit analogen Ziffern, wenn erforderlich ist, erstellt.
Die Erwartungen nach der Kryptorchidismus-Korrektur
Wann wird das Ergebnis der Orchidopexie sichtbar sein?
Das vorläufige Ergebnis der Hodenfixation (Pexie) ist sofort sichtbar. Die Endergebnisse der Operation sind erst nach 2 Wochen sichtbar, weil die Schwellung nach der Operation Zeit benötigt, um abzuklingen.
Wie lange hält das Ergebnis an?
Die Ergebnisse sind dauerhaft.

© Alvin Mahmudov / unsplash.com
Komplikationen nach der Kryptorchidismus-Korrektur
Welche Probleme können auftreten?
Die Orchidopexie benötigt eine chirurgische Freilegung der Gefäße und des Samengebildes, um eine ausreichende Länge zu gewinnen und die Hoden im Hodensack spannungsfrei zu platzieren. In manchen Fällen ist der Hodenstiel kurz. Demzufolge kann es zur Minderung der Blutversorgung und in der Folge zu einer Hodenschrumpfung kommen. Das ist nur vermeidbar, wenn der Stiel sorgfältig möglichst lang freipräpariert wird. Im schlimmsten Fall müssen die Hoden mikrochirurgisch implantiert werden. Verletzung von Hoden und Samengebilde sind selten, bzw. wurden noch nicht beobachtet.
Was sollte nach der Orchidopexie vermieden werden?
Vermeiden Sie Baden und Schwimmen für 2 Wochen. Weiterhin dürfen Fußball und Kampfsportarten für mindestens 4 Wochen nicht ausgeübt werden.
Wie lässt sich die Heilungsphase beschleunigen?
- Antibiotika 10 Tage lang ein zu sich nehmen, sonst droht eine eventuelle Entzündung.
- Ein Verband ist nach der Operation für 10 Tage notwendig. Baden und Schwimmen sind für 2 Wochen zu unterlassen
>
Sie können die eventuellen Komplikationen Ihre Operation durch engmaschige postoperative Kontrolle bei Ihrem Arzt vermeiden.
Welche Komplikationen können während der Heilungsphase auftreten?
Mögliche Die Komplikationen sind:
- Entzündung
- Schrumpfen der Hoden
- Blutungen
- Verletzung des Hodens
- Verletzung des Samengebildes
>
Kontraindikationen
In welchen Fällen kann der Orchidopexie nicht durchgeführt werden?
Orchidopexie ist kontraindiziert unter folgenden Konditionen:
- Pendelhoden
- Schrumpfhoden
- Bauchhoden mit sehr kurzem Stiel
Außerdem soll keine Korrektur des Maldescensus testis durchgeführt werden, bevor eine hormonelle Behandlung probiert wurde.
© Rawpixel / unsplash.com
Dr. med. Aref Elseweifi
Der Hodenhochstand
auf einen Blick
Zusammenfassung und Schlusswort
von Dr. Elseweifi
Abwägung der Risiken, Vorteile und Nachteile der Korrektur der Leistenhoden
Leistenhoden tritt allgemein bei 1% der Neugeboren auf und bedarf einer Behandlung mit hormoneller Injektion oder Nasenspray, bevor eine Entscheidung für die operative Orchidopexie getroffen wird. Eine solche Operation schützt das Kind vor Hodentrauma, Leistenbruch, Hodenkrebs und Unfruchtbarkeit. Deswegen ist die Operation ratsam. Die Verletzung von Hoden- und Samengebilde oder schrumpfende Hoden sind seltene Komplikationen.
Gibt es alternativen Eingriff mit dem gleichen Effekt?
Eine Alternative gibt es bisher nicht
Eichelvergrößerung wiederherstellt die Relation zwischen die Eichel und das Glied.
Verfasser
Dr.med. Aref Elseweifi,
Facharzt für Urologie,
Intim- und Ästhetische genitale Chirurgie,
Prostataerkrankungen
Literatur:
Kongresse:
El-Seweifi, A.
Permanent Thickening of the Penis
“Elseweifi II. Technic”,
Annual meeting of the Canadian Society of Andrology. Montreal, Canada. Mai 1993.
Lehrbuch Beiträge:
El-Seweifi, A.
Penile Enlargement Procedures,
P. Scheplev and D. Korbatov,
146-169, Surgery of the male sexual organ.
Illustrated Book. Rocmin Press, Mosccow 2002.
In Russian and English language.
El-Seweifi, A.
Operative Technique of Penile enlargement,
D. Heimbur, D. Richter und G. Lemperle.
The text book of the German Society of Aesthetic and Plastic surgery, Ecomed Print, Hamburg 2003.
El-Seweifi, A. und P.H. Zeplin
Grundlage der Funktionell-ästhetische Intimchirurgie beim Mann,
Zeplin P. H., 127, Rekonstruktive und Ästhetische Intimchirurgie, Georg Thieme Verlag, Stuttgart 2017. In Deutsche und Englische Sprache.
El-Seweifi, A.
Phalloplastik, verlängerende Phalloplastik, Penisaugmentation, Glansaugmentation,
Zeplin P. H., 127-136, Rekonstruktive und Ästhetische Intimchirurgie, Georg Thieme Verlag, Stuttgart 2017.
In Deutsche und Englische Sprache.
Videofilme:
El-Seweifi, A.
Augmentation Phalloplasty (2017).
In Englische Sprache.
empty
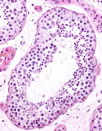
(1) Mikroskopisches Bild eines normalen Hodengewebe
Quelle: www.wikimedia.org
Licence: Permission is granted to copy, distribute and/or modify this document under the terms of the GNU Free Documentation
License, Version 1.2 or any later version published by the Free Software Foundation; with no Invariant Sections, no Front-Cover Texts, and no Back-Cover Texts. A copy of the license is included in the section entitled GNU Free Documentation License.
This file is licensed under the Creative Commons Attribution-Share Alike 3.0 Unported license.
Attribution: Nephron, CC BY-SA 3.0, via Wikimedia Commons. 07 Juni 2010.
Bildverarbeitung:
empty
(2) Ein Beispiel für Hodenhochstand rechts
Quelle: Dr. med. Aref Elseweifi
empty
(3) Ein Beispiel für Hodenfixieren im Hodensack beidseits
Quelle: Dr. med. Aref Elseweifi

















